المزيد من المعلومات :
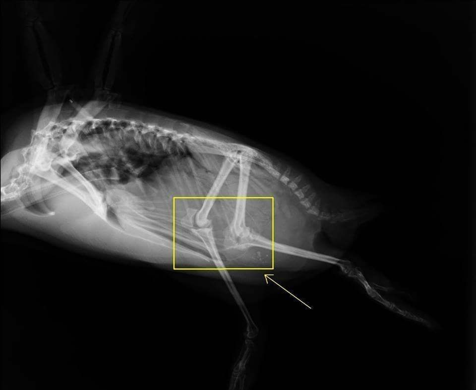
http://penguins.neaq.org/20...هل كنت تعلم ان للبطريق رُكَب ؟
هناك اجزاء كثيرة في جسم الانسان لم تعد له فائدة ويمكن العيش من دونها ضرس العقل والشعر الزائد او الشعر بشكل عام على سبيل المثال ..
كل ما هو في جسم الإنسان مفيد، ضرس العقل إن كان نموها سليما فهي تفيد في المضغ وتشكل ركيزة لوضع الأسنان الاصطناعية في حال تعرضت الأسنان المحاذية لعواقب أدت الى اطاحتها.
المصدر :
نعم لقد قلت أن ضرس العقل إن كان نموها سليما فنزعها مجرد أمر ثانوي
أما إن كان نموها غير سليم فذلك يسبب في التهاب للثة وأشياء أخرى
بالمناسبة المقال الأصلي للرابط (غير المترجم) غير مدعوم بمصادر إذن لا يمكن الوثوق به
اذا نمى الضرس بشكل سليم فلن تكون هناك اي مشاكل يعني سيعمل بشكل طبيعي لكن المعروف انه في غالبا الاحيان يسبب مشاكل ولا ينمو بشكل سليم مما يجعل البعض يضطر لازالته
نصيحة ثلاث أطباء أسنان مختلفين عندما حاولت المساومة على عدم خلعهم.
سأخلع ضرسين غداً والله سأكون أكثر من سعيدة اذا اعطيتني مصدر يقنع طبيب أسناني بعكس هذا. .إذا بدأت بالتعليق بطريقة غريبة فهذا سيكون تأثير التخدير أو الألم بعد زوال التخدير..سأحاول أن أبقى بعيدة عن الحاسوب و إن فشلت محاولاتي تحلو ببعض الرحمة :'[
لا يتم الحظر في حسوب إلا:
تقييم نفسه بحسابات أخرى
إثارة الشغب والخروج عن قانون الموقع
تعديه الـ 50 نقطة سالبة
السببين الأولين حظر يدوي أما الأخير فهو حظر تلقائي
لم اقيم نفسي ابداً في حسابي المحظور
لم اثر الشغب في حسابي المحظور
تعدت نقاطي 150. نقطة ايجابية
dsief_52
وما فائدة المجتمعات اذن ؟
نقاش الحظر والنقاشات المتعلقة بالادراة والقوانين لها مجتمعها الخاص... ما ذنب شخص يقرا نقاش حول اعضاء الجسم ليدخل في تعليقات الحظر والحسابات.
قليل من الترتيب وعدم الفوضوية لا غير
التعليقات